Skip to main content

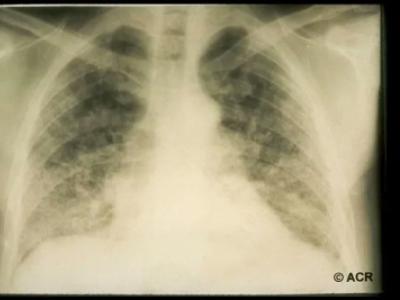
Review of the Rheumatic causes of Pericarditis and their management. Causes: SLE, RA, MCTD, Myositis, EGPA, GPA, IgG4-r

Social Author Name
Dr. John Cush
Tweet Content

Review of the Rheumatic causes of Pericarditis and their management. Causes: SLE, RA, MCTD, Myositis, EGPA, GPA, IgG4-rel Dz, FMF, TRAPS, CAPS, AOSD, JIA, Sarcoidosis, Kawasakis, GCA, Takayasu's https://t.co/MQmkUe4Yey https://t.co/FSfrznoeBe

JAK Inhibitor Potential in Systemic Sclerosis-Associated ILD The occurrence of interstitial lung disease (ILD) in Syste

Social Author Name
Dr. John Cush
Tweet Content
JAK Inhibitor Potential in Systemic Sclerosis-Associated ILD The occurrence of interstitial lung disease (ILD) in Systemic sclerosis portends serious morbid and mortal outcomes for those affected. https://t.co/LWHKO0gRu4 https://t.co/i2IOLcAgt3

CXCL5 Therapy in Lupus? A new study has shown that restoring the balance of a protein in blood may be a promising trea

Social Author Name
Dr. John Cush
Tweet Content
CXCL5 Therapy in Lupus? A new study has shown that restoring the balance of a protein in blood may be a promising treatment option for systemic lupus erythematosus, or lupus, an incurable autoimmune disease. https://t.co/B82Xq5FFNJ. https://t.co/ba2nlFuDsI

The First Head to Head trial in Axial SpA Dr.Gensler discusses abstract L15 presented at #ACR22. L15: Effect of Secukin

Social Author Name
Dr. John Cush
Tweet Content
The First Head to Head trial in Axial SpA Dr.Gensler discusses abstract L15 presented at #ACR22. L15: Effect of Secukinumab versus Adalimumab Biosimilar on Radiographic Progression in Patients with Radiographic AxSpA: A Randomized Phase IIIb Study https://t.co/RgwKRJwgoS https://t.co/6LxOURICiE

Marginal Benefit with Diet and Exercise in Obese Knee Osteoarthritis Patients The easiest intervention for knee osteoar

Social Author Name
Dr. John Cush
Tweet Content
Marginal Benefit with Diet and Exercise in Obese Knee Osteoarthritis Patients The easiest intervention for knee osteoarthritis (diet and exercise) is also the most difficult for many patients; but do these work? https://t.co/s4Gzmh2gGZ https://t.co/aZORTMtCvs
COVID-19 Vaccine Responses in Rheumatic Disease Patients

Nature Reviews Rheumatology features a review of three notable papers that address the impact of SARS-CoV-2 vaccination on people with inflammatory rheumatic disease. 

Studies on the efficacy and safety of the COVID-19 vaccines, have shown rapid and strong development of immunity in healthy populations. Unfortunately, patients with inflammatory rheumatic disease (IRD) were excluded from participation in the large registration trials for the vaccines. Thus, the effectiveness and safety of vaccination in these vulnerable individuals was therefore not known.

Fever, FROST, & Pericarditis (12.16.2022)

Dr. Jack Frost reviews the news, and journal articles from the past week on RheumNow and ends with an audience question on "Macro-CK".

  1. During 2021–22 FLU season, 6% of hosp pedi-influenza pts had SARS-CoV-2 coinfection; these required more respiratory support. Risk of influenza death augmented by not recv vaccination (flu or covid), no antiviral Rx, comorbidities & coinfx w/COVID https://t.co/bfjeClHflW

Subscribe to
×