Recent News
I've done thousands of interviews; mostly for medical school admissions or medical and research employment. They’re all the same. I'm looking for the “right one” and the interviewee is somewhere between apprehension, uncertainty and hope. From all this experience I’ve developed my own perspective on interviews and interviewing that has been amended in the digital/virtual era.Read Article
Sjogren’s disease: two drugs with positive trials Sjogren’s disease: two drugs with positive trials
After several failures of therapies in Phase 3 trials of Sjogren’s disease (SjD) over many years, all hope is not lost! At #ACR25, not one but two drugs presented their efficacy https://t.co/kTTdZnVUtj
Dr. John Cush @RheumNow ( View Tweet)
RETREAT study was a 12 wk RCT of Tai Chi in 178 knee OA pts Rx w/ online OA info vs same plus free web based tai chi video program. Tai Chi group had signif improved knee pain (−2.7 v -1.2); (−12 v −6.9) & achieved a minimal pain & function (73% v 47%); and Its free! https://t.co/WLzQ9YHrcu
Dr. John Cush @RheumNow ( View Tweet)
Off the Shelf: CAR-T
Dr. Akhil Sood reports on abstract 0663 (iPSC-Derived Off-the-Shelf anti-CD19 CAR T cells Deliver Improved Clinical Outcomes in Lupus with Reduced or No Conditioning Chemotherapy) presented at#ACR25.
https://t.co/mj4b5cCInC https://t.co/s34atFCMlx
Dr. John Cush @RheumNow ( View Tweet)
AI in Fellow Recruitment: A New Dawn in Medical Education?
Drs. Mrinalini Dey and Bharat Kumar abstract 2174 (Using Natural Language Processing to Identify Character Strengths in Rheumatology Fellowship Candidate Applications: A Feasibility Study) presented at #ACR25. https://t.co/gGx4zZlfAm
Dr. John Cush @RheumNow ( View Tweet)
Beyond the Breakthrough: Equity and Access in CAR-T Cell Therapy for RA
At #ACR25, abstract 1039, "Global Cost-Effectiveness and Equity in CAR-T Cell Therapy for Rheumatoid Arthritis," highlights the critical economic and ethical dimensions of CAR-T cell therapy in autoimmune https://t.co/Rci0dL7THj
Dr. John Cush @RheumNow ( View Tweet)
📖➡️The GCA story continues with new data from a Phase 3 trial of a JAKi, sponsored by AbbVie Medical Affairs + Health Impact.
🔥 Hot off the press from ACR 2025, hear Dr. Dua & Dr. Boone discuss the latest data in GCA.
https://t.co/Wuu7xe5Xbl https://t.co/mnTiXmChHp
Dr. John Cush @RheumNow ( View Tweet)
“It is not the strongest of the species that survive, nor the most intelligent, but the one most responsive to change." – Charles Darwin
Dr. John Cush @RheumNow ( View Tweet)
Are we putting the CAR-T before the horse?
CAR T-cells have been a revolutionary development in rheumatology. We have seen a population of patients with severe refractory autoimmune conditions almost overnight presented with the prospect of not just improvement, but of a cure. https://t.co/gF9FXjAZ7F
Dr. John Cush @RheumNow ( View Tweet)
B Cell Depletion: Check the Lymph Node
Dr. Akhil Sood reports on abstract 2695 (B-cell depletion and lymphoid follicle disruption upon different B-cell depleting agents) presented at #ACR25.
https://t.co/bvZMGWNzfe https://t.co/dB6iQlgoYx
Links:
Dr. John Cush @RheumNow ( View Tweet)
900,000 vs 9
It takes about 900,000 minutes to become a board-certified dermatologist. At that point, you might be very skilled and well-informed.
It takes less than nine minutes to make your patient feel seen, understood and reassured.
If you skip the 9 minutes, you wasted the https://t.co/o7BaWjS4HB
Dr. John Cush @RheumNow ( View Tweet)
Beyond the Breakthrough: Equity and Access in CAR-T Cell Therapy for RA
At #ACR25, abstract 1039 entitled, “Global Cost-Effectiveness and Equity in CAR-T Cell Therapy for Rheumatoid Arthritis” adds a critical dimension to the growing enthusiasm around cellular therapies in https://t.co/49J2X48i4E
Dr. John Cush @RheumNow ( View Tweet)
Ianalumab Shows Phase 3 Success in Sjögren’s: Is It Clinically Meaningful?
On the final day of ACR25, late-breaking abstract #24 drew particular attention, presenting results from the first positive Phase 3 trials of a potential systemic treatment for a disease that has long lacked one.
Read Article
IL-23 Blockade Goes Oral
A new player is entering the IL-23 arena — and it’s a tablet! Icotrokinra (ICO), a first-in-class peptide that binds and blocks the interleukin-23 receptor (IL-23R), is showing encouraging efficacy and safety across a range of psoriasis (PSO) and https://t.co/7awBk16ZrQ
Dr. John Cush @RheumNow ( View Tweet)
Stopping therapy in GCA
At #ACR25 we saw the SELECT-GCA extension data presented in the first plenary session, looking at the second year after the 52 week original study, comparing upadacitinib versus placebo in GCA. In this second year, patients in remission on upadacitinib https://t.co/GaYNWr3Sjq
Dr. John Cush @RheumNow ( View Tweet)
Weight Loss as a Therapeutic Goal in PsA
PsA is a complex inflammatory disease often complicated by obesity, which not only worsens disease activity but also impairs treatment response. At #ACR25, 3 compelling studies spanning pharmacologic, lifestyle, and longitudinal https://t.co/Q6IFGn5zCI
Dr. John Cush @RheumNow ( View Tweet)
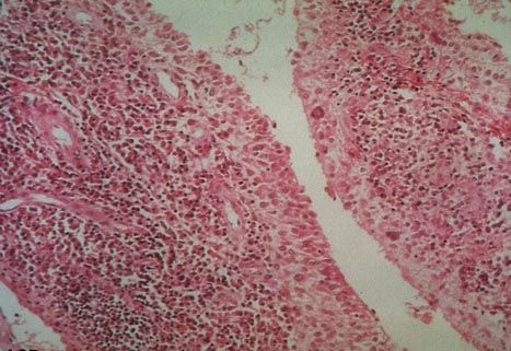
IgG4: Rare, but new treatments on the horizon
IgG4 is a rare autoimmune disease with excessive IgG4 immunoglobulins that can affect multiple organs yielding plasma cell deposition (inflammation) and fibrosis.
https://t.co/v07Kp5tQXg https://t.co/rIvOF0mrM1
Links:
Dr. John Cush @RheumNow ( View Tweet)
Do Patients with Rheumatic Diseases 'Weather' the Storm?
Dr. Janet Pope reports on abstract 0164 (Online Patient Survey on the Impact of Extreme Weather Events on Autoimmune and Rheumatic Diseases) presented at #acr25.
https://t.co/rY3T6tWsgu https://t.co/vdgT2DB5lH
Dr. John Cush @RheumNow ( View Tweet)
Upadacitinib: revisiting safety data in RA and GCA
For the last several years, conversations about JAK inhibitors have often started and ended with safety. The shadow cast by ORAL Surveillance has made clinicians more cautious and regulators more restrictive. Yet in practice, https://t.co/6Wes2npkFd
Dr. John Cush @RheumNow ( View Tweet)
#ACR25 Best Abstracts - Day 3
Tweeting about an ACR presentation or poster is a skill and sometimes art -- one that is mastered by the RheumNow faculty roving the halls and floors for the best new insights at #ACR25, Here are several of the best abstracts from Day 3, as chosen https://t.co/fOgXSiIWzC
Dr. John Cush @RheumNow ( View Tweet)

Poster Hall

