PET Uptake in Large Vessel GCA – Does tocilizumab help?
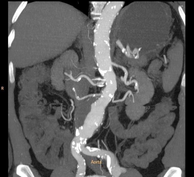
Giant cell arteritis (GCA) is the most common form of adult vasculitis in the United States and can be subdivided into those with cranial only symptoms, those with large vessel vasculiti/PMR, and those with mixed features. Non-invasive imaging is key in detecting large vessel
Read Article


