Skip to main content

Spondyloarthritis: Novel Therapies, Diagnostic Dilemmas and Depression Dr. Lianne Gensler ( @lianegensler discusses th

Social Author Name
Dr. John Cush
Tweet Content
Spondyloarthritis: Novel Therapies, Diagnostic Dilemmas and Depression Dr. Lianne Gensler ( @lianegensler discusses the following abstracts presented at #ACR22. Abstracts 1597, 1598, 1599 (treatment) and 1613, 1609 and 1614 (diagnosis and outcomes) https://t.co/f7o8UARKNl https://t.co/ryVmD86UoI

Systematic review of MSK findings in patients with acute lymphoblastic leukemia finds 29 pts with peripheral arthritis

Social Author Name
Dr. John Cush
Tweet Content
Systematic review of MSK findings in patients with acute lymphoblastic leukemia finds 29 pts with peripheral arthritis (7), axial manifestations (17), and osteolytic lesions (21 pts) & Vertebral Fx (4) Hypercalcemia in 9 cases. https://t.co/GJXoqhOjNG https://t.co/YHS09E4a0U

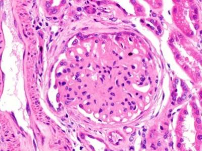
Tight control of proteinuria in newly diagnosed lupus nephritis The last 3 years have been exciting times in the field

Social Author Name
Dr. John Cush
Tweet Content
Tight control of proteinuria in newly diagnosed lupus nephritis The last 3 years have been exciting times in the field of lupus nephritis (LN) with two new licensed therapies, belimumab (BAFF-inhibitor) and voclosporin (calcineurin-inhibitor). https://t.co/Q7TahfZiB0 https://t.co/9Odwed55fe

RA: MACE Events with Opioids vs. NSAIDs The authors of abstract 1646 assessed MACE (myocardial infarction, stroke, hear

Social Author Name
Dr. John Cush
Tweet Content
RA: MACE Events with Opioids vs. NSAIDs The authors of abstract 1646 assessed MACE (myocardial infarction, stroke, heart failure, CVD death, VTE) and all-cause mortality in new users of opioids vs. matched NSAIDs new users. https://t.co/huz6NyYRlh https://t.co/dNYu7ybFZ5
Inflammatory Arthritis and Hidradenitis Suppurativa

Hidradenitis suppurativa (HS) (also called acne inversa), is a chronic inflammatory skin disorder affecting apocrine gland-bearing skin in the axillae, groin, and under the breasts and is characterised by persistent or recurrent and painful boil-like nodules and abscesses.  HS is associated with significant comorbidities, including chronic inflammatory arthritis.

Joint hypermobility linked to depression & anxiety? Longitudinal Study of 6105 kids at age 14 yrs: 19% had generalis

Social Author Name
Dr. John Cush
Tweet Content
Joint hypermobility linked to depression & anxiety? Longitudinal Study of 6105 kids at age 14 yrs: 19% had generalised joint hypermobility (more in F) *+& assoc w/ depression (OR: 3.53), anxiety (3.14) at age 18 https://t.co/9NrEfwt4L5 https://t.co/JrM2JKUuJ0
Subscribe to
×