Skip to main content

Congrats to Dr. Virginia Pascual who was elected to American Academy of Arts and Sciences. Virginia isthe director of G

Social Author Name
Dr. John Cush
Tweet Content
Congrats to Dr. Virginia Pascual who was elected to American Academy of Arts and Sciences. Virginia isthe director of Gale & Ira Drukier Institute for Children’s Health & Ronay Menschel Professor of Pediatrics @ Weill Cornell Medicine. Her translational/basic research have been https://t.co/hOYi59xMC5

Stable SLE - Should you Withdraw Immunosuppressant or Glucocorticoids? An open-label, single-centre, randomized contro

Social Author Name
Dr. John Cush
Tweet Content
Stable SLE - Should you Withdraw Immunosuppressant or Glucocorticoids? An open-label, single-centre, randomized controlled trial tested whether immunosuppressant (IS) withdrawal is noninferior to glucocorticoid (GC) withdrawal in SLE patients and found that IS withdrawal is https://t.co/T8Fu83GScH

Glucocorticoids in SLE: how to start, how to follow, how to stop More than 70 years after their first use in rheumatol

Social Author Name
Dr. John Cush
Tweet Content
Glucocorticoids in SLE: how to start, how to follow, how to stop More than 70 years after their first use in rheumatology by Philip Hench, glucocorticoids (GCs) continue to be one of the main weapons to fight systemic lupus erythematosus (SLE). No other available medication https://t.co/H6N0N3BhhU

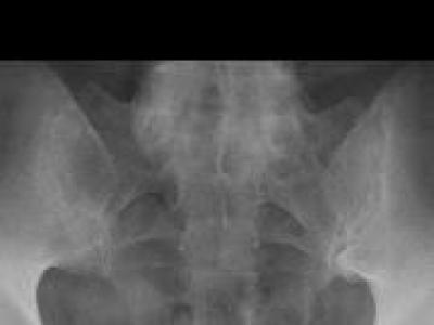
Pitfalls in sacroiliitis imaging: Bone marrow edema may also be seen in young-middle-aged postpartum women, & athlet

Social Author Name
Dr. John Cush
Tweet Content
Pitfalls in sacroiliitis imaging: Bone marrow edema may also be seen in young-middle-aged postpartum women, & athletes & kids (ongoing bone growth) & w/ advancing age (DJD) https://t.co/bwS047wlmI https://t.co/FvWlEcZ5JP

single-centre study of 469 consecutive RA pts - 15 had VTE (3%). Strongest risk factor of VTE was the history of previou

Social Author Name
Dr. John Cush
Tweet Content
single-centre study of 469 consecutive RA pts - 15 had VTE (3%). Strongest risk factor of VTE was the history of previous VTE (OR 44.7), recent hospitalisation (OR 6.82), diabetes (OR 11.23), and JAKi (OR 5.54) (Other studies show inflammation incr VTE risk) https://t.co/pBJDhXOgut
D-Lay Trial: High-Dose Vitamin D Retards Multiple Sclerosis

A randomized clinical trial with oral high-dose cholecalciferol ( vitamin D3) was shown to prevent or delay the onset of clinically isolated syndrome (CIS), typical for multiple sclerosis (MS).

Vitamin D plays an important role in immune function and in the VITAL study was shown to reduce the risk of autoimmune disease. Also a deficiency of vitamin D, can be a risk factor for multiple sclerosis (MS). This study assessed whether high-dose cholecalciferol monotherapy in may influence signs of developing MS.

More Women with Autoimmune Diseases Die from Cardiovascular Disease
Women with the autoimmune diseases rheumatoid arthritis, lupus or systemic sclerosis may have a higher rate of death related to cardiovascular disease than men with the autoimmune diseases, according to new research published in the American Heart Association’s journal Circulation: Cardiovascular Quality and Outcomes.
Subscribe to
×