Skip to main content

Full read Overview of the effects of Menopause and Estrogen on autoimmune disorders https://t.co/NpVPrnPT6x https://t.

Social Author Name
Dr. John Cush
Tweet Content
Full read Overview of the effects of Menopause and Estrogen on autoimmune disorders https://t.co/NpVPrnPT6x https://t.co/wt9f5D7WXL

Post hoc analysis of 5 ph III Belimumab RCTs (BLISS, etc, N=3086) on skin outcomes BILAG & SLEDAI-2K), BEL was supe

Social Author Name
Dr. John Cush
Tweet Content
Post hoc analysis of 5 ph III Belimumab RCTs (BLISS, etc, N=3086) on skin outcomes BILAG & SLEDAI-2K), BEL was superior to PBO (mcBILAG OR: 1.29; mcSLEDAI-2K OR: 1.37). Also if SLEDAI ≥10 & dsDNA+ pts. BEL prevented skin flares (HR 0.70) https://t.co/p1MVVf97Go https://t.co/qwWUyegpyi

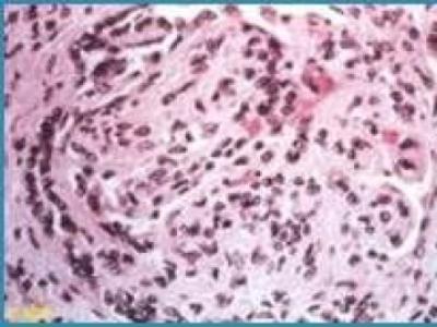
55 myositis (IIM) pts studied Nailfold Capillaries, MSAbs, cytokines & IFN genes. MDA5(+) pts signif more dilated (D

Social Author Name
Dr. John Cush
Tweet Content
55 myositis (IIM) pts studied Nailfold Capillaries, MSAbs, cytokines & IFN genes. MDA5(+) pts signif more dilated (DIL), giant & abnl morphology caps, w/ microhemorrhages (MH) vs ARS (+) pts. MH & DIL assoc w/ MX1, IFI27, IP-10, RANTES, GROα. Giant caps assoc w/ IFI27, SDF-1α, https://t.co/3WQL8Sw0rq
Autoimmune Disease Impact Report

Integrated Benefit Institute, a nonprofit independent research organization, has published its 2025 Autoimmune Disease Impact Report, which examines the health and productivity impacts of five prevalent and costly autoimmune conditions: rheumatoid arthritis, multiple sclerosis, inflammatory bowel diseases, psoriasis, and thyroid autoimmune disorders.

Veterans Admin (VA) EHR study of #RA-associated ILD (n 1047), matched 237 RA-ILD pts who Rx w/ TNFi vs 237 Rx w/ non-TNF

Social Author Name
Dr. John Cush
Tweet Content
Veterans Admin (VA) EHR study of #RA-associated ILD (n 1047), matched 237 RA-ILD pts who Rx w/ TNFi vs 237 Rx w/ non-TNF biologics (mean age 68y; 92% male). Death & Resp hospitalisation were similar (adj HR 1·21, 1·27), as was mortality (1·15), Resp mortality (1·38) https://t.co/03LV5B4FSV
Targeting Obesity in Rheumatic Disease Patients
Sattar et al. has published an informative overview of the effect of obesity on rheumatic and musculoskeletal diseases (RMDs). They estimate that nearly 70% of RMD patients are overweight or obese.

NP and PA Growth in the USA Forbes has published a thoughtful perspective on the declining number of US physicians and

Social Author Name
Dr. John Cush
Tweet Content
NP and PA Growth in the USA Forbes has published a thoughtful perspective on the declining number of US physicians and the growth in the number of advanced practice providers or APPs in the US clinical workforce. https://t.co/syQcSFIeMP https://t.co/wbkofNJxd0 https://t.co/2cY42RX6Xo

Adrenal Dysfunction after Steroids in PMR and GCA Patients JAMA has published a study of PMR and GCA patients who stop

Social Author Name
Dr. John Cush
Tweet Content
Adrenal Dysfunction after Steroids in PMR and GCA Patients JAMA has published a study of PMR and GCA patients who stopped glucocorticoid (GC) therapy and noted a low (1.2%) risk of GC-induced adrenal insufficiency after planned cessation. https://t.co/ZTaIQxs0ex https://t.co/LA5qji8Zj5

Mizoribine Effective in Lupus Nephritis A randomized clinical trial has shown that oral mizoribine, a common immunosup

Social Author Name
Dr. John Cush
Tweet Content
Mizoribine Effective in Lupus Nephritis A randomized clinical trial has shown that oral mizoribine, a common immunosuppressant in Japan, was noninferior to intravenous cyclophosphamide (CTX) as induction therapy in patients with active lupus nephritis. https://t.co/OWnGly4TUX https://t.co/zbPPH1n4lU

Systematic literature review of sleep Rx in Fibromyalgia - 47 RCTs, 11094 pts, found cognitive behavioral Tx (CBT) signi

Social Author Name
Dr. John Cush
Tweet Content
Systematic literature review of sleep Rx in Fibromyalgia - 47 RCTs, 11094 pts, found cognitive behavioral Tx (CBT) significantly benefitted insomnia, but not pain. Pregabalin & sodium oxybate had small effect, but Amitriptyline, milnacipran, & duloxetine showed no benefit for https://t.co/XG8cFlpQqq
Subscribe to
×