Skip to main content

Cochrane review of TNF inhib. in #JIA shows TNFi efficacy, but uncertainty about LT safety, pain, function, & Dz con

Social Author Name
Dr. John Cush
Tweet Content
Cochrane review of TNF inhib. in #JIA shows TNFi efficacy, but uncertainty about LT safety, pain, function, & Dz control - esp compared to MTX. 9 studies, 678 JIApts, age 8-15 yrs (80% F), Dz duration 0.8-6.7 yrs. Withdrawls 1% v 3%; Serious AE 6% v 7% (PBO vs TNFi).… https://t.co/twmYfFg702 https://t.co/hG3j4sMPr9

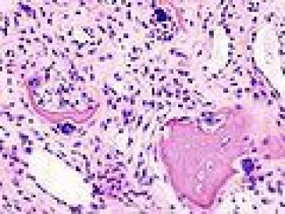
RNA-seq analysis of human chondrocytes (HTC) shows Osteoarthritis has more HTC-1 (w/ more cell apoptosis & PD-1 gen

Social Author Name
Dr. John Cush
Tweet Content
RNA-seq analysis of human chondrocytes (HTC) shows Osteoarthritis has more HTC-1 (w/ more cell apoptosis & PD-1 genes) & proliferate fibrochondrocytes (ProFC2) w/ heightened inflammatory response, & increased cytokine signalling https://t.co/FZ72CnWk20 https://t.co/sx4NB2C8h3
Misdiagnosis of Dermatomyositis

JAMA Dermatology reports a retrospective cohort study from Johns Hopkins reviewing mimic of dermatomyositis (DM), suggesting that DM and especially clinically amyopathic DM (CADM) are commonly and initially misdiagnosed as inflammatory skin disease (ISD).

The study was undertaken to evaluate misdiagnosis patterns and the clinical implications of those with DM and CADM.

Study included adults with confirmed DM or CADM, seen between 2005 and 2023. Duration of misdiagnosis was defined as time between first ISD diagnosis and DM or CADM confirmation. 

TNF Inhibitor Drug-Induced Lupus

A study from the FDA's adverse event reporting system (FAERS or Medwatch) database identified cases of drug induced systemic lupus erythematosus (SLE) in patients receiving tumor necrosis factor-α (TNF-α) inhibitors - a paradoxical reaction to common antiinflammatory biologic agents.

Peking Univ long term F/U of Knee replacement (TKA) in 226 patients (246 knees) shows prosthesis survival rates of 93.6%

Social Author Name
Dr. John Cush
Tweet Content
Peking Univ long term F/U of Knee replacement (TKA) in 226 patients (246 knees) shows prosthesis survival rates of 93.6%, 92.4%, 89.8%, and 71.8% at 10, 15, 20, and 25 years post-TKA, respectively. 20yr function somewhat less than 10yr, but still much better than preop… https://t.co/gJbedIEr91 https://t.co/q799oV8TNm

Do infections lead to Kawasaki Dz (KD)? Swedish registry study of 1774 KD vs 17 731 controls. +Hx of Infx incr risk o

Social Author Name
Dr. John Cush
Tweet Content
Do infections lead to Kawasaki Dz (KD)? Swedish registry study of 1774 KD vs 17 731 controls. +Hx of Infx incr risk of KD (OR 2.3; 2.0 to 2.5) - mostly Resp, skin, GU & GI Infx. Infxns usually clustered before KD Dx (OR 5.1 15–28d; OR 1.3 6-12 mos prior KD. More infx = more KD… https://t.co/V9zbcmJdKv https://t.co/Evl3rtCxUO

Bubble Trouble - When Bullous Lupus Bursts onto the SLE Scene Presentation by Dr. Alana Haussmann at the Rheumatology

Social Author Name
Dr. John Cush
Tweet Content
Bubble Trouble - When Bullous Lupus Bursts onto the SLE Scene Presentation by Dr. Alana Haussmann at the Rheumatology Winter Clinical Symposia - Feb 2025 https://t.co/bkQSq51BEo https://t.co/DLBs3uIyH7

Optimal Management of Rheumatoid Arthritis Patients and Liver Disease https://t.co/4JfUueF55o https://t.co/hBkgYU1Mye

Social Author Name
Dr. John Cush
Tweet Content
Optimal Management of Rheumatoid Arthritis Patients and Liver Disease https://t.co/4JfUueF55o https://t.co/hBkgYU1Mye

B Cell Depleters (2.21.2025) Dr. Jack Cush reviews the news and journal articles from the past week on RheumNow. ht

Social Author Name
Dr. John Cush
Tweet Content
B Cell Depleters (2.21.2025) Dr. Jack Cush reviews the news and journal articles from the past week on RheumNow. https://t.co/PRjy4a1BG9 https://t.co/3J4NSmn6Su
Subscribe to
×