Skip to main content

An Alternative Pain Protocol Following Knee Replacement Surgery A study reports that a novel surgical pain management s

Social Author Name
Dr. John Cush
Tweet Content
An Alternative Pain Protocol Following Knee Replacement Surgery A study reports that a novel surgical pain management strategy following total knee arthroplasty (TKA), or total knee replacement, provided pain relief without opioids. https://t.co/OMQ4Tjl8Yv https://t.co/Hu59WJohcN

We're less than 3 weeks out from RheumNow Live. Are you coming? We'll be hosting a variety of topic panels, including

Social Author Name
Dr. John Cush
Tweet Content
We're less than 3 weeks out from RheumNow Live. Are you coming? We'll be hosting a variety of topic panels, including one focused on Spondyloarthritis Innovations. Join us! https://t.co/AOJGKTss7Q https://t.co/7nCdgwO6Zh

VTE Options QD Clinic - Lessons from the clinic, brought to you by https://t.co/4UQlqwujiR March 18 &19, 2023 - Dal

Social Author Name
Dr. John Cush
Tweet Content
VTE Options QD Clinic - Lessons from the clinic, brought to you by https://t.co/4UQlqwujiR March 18 &19, 2023 - Dallas, TX https://t.co/xmtC8fvYUa https://t.co/FX6o35qwFW

Study of 78 pt suspected of #GCA undergoing Temp. artery Bx and US. Nearly half (35) Dx w/ GCA. Both had similar sensit

Social Author Name
Dr. John Cush
Tweet Content
Study of 78 pt suspected of #GCA undergoing Temp. artery Bx and US. Nearly half (35) Dx w/ GCA. Both had similar sensitivities(69% and 63%, respectively), but specificity higher w/ biopsy (100% vs 79%). Compression sign had best diagnostic performance https://t.co/ATPtN8WZin https://t.co/1MIrmp45AX
Psoriatic Arthritis: Depressing News on Second- and Later-Line Treatments

Most patients with psoriatic arthritis (PsA) failed to achieve low disease activity after switching from one targeted therapy to another, real-world data from Scandinavian registries indicated.

Moreover, patients became increasingly less likely to see substantial symptom improvement as they moved on to third-, fourth, and later-line treatments, reported Bente Glintborg, MD, PhD, of University Hospital of Copenhagen, and colleagues in the Annals of the Rheumatic Diseases.

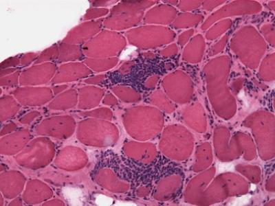
Drs Schett & Mackensen reported a case of refractory inflammatory myositis successfully treated with CD19 CAR T cell

Social Author Name
Dr. John Cush
Tweet Content
Drs Schett & Mackensen reported a case of refractory inflammatory myositis successfully treated with CD19 CAR T cells. 41yoM w/ +Jo-1, myositis, ILD, Raynauds, periorb edema, not responding to steroids, RTX, IVIG, tacrolimus, CTX https://t.co/x2ljxNdXVM https://t.co/bVmQ0law5H
Subscribe to
×