Skip to main content

RA Topic Panel RheumNow recaps the best & most interesting data presented at #ACR22 in RA. Panelists: Drs.Conway, N

Social Author Name
Dr. John Cush
Tweet Content
RA Topic Panel RheumNow recaps the best & most interesting data presented at #ACR22 in RA. Panelists: Drs.Conway, Najm, Liew, Pope, Segan Follow: @RichardPAConway @AurelieRheumo @drdavidliew @Janetbirdope @JulianSegan https://t.co/GMqRmF2yXA https://t.co/WmYRTp49Rv

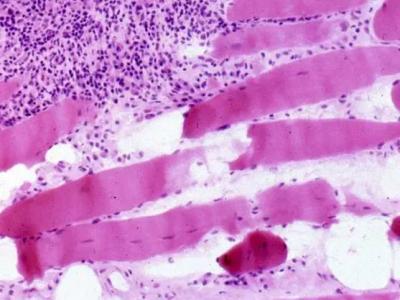
Proposed Cancer Screening for Inflammatory Myositis Patients 11/12's plenary session features a novel proposal on how

Social Author Name
Dr. John Cush
Tweet Content
Proposed Cancer Screening for Inflammatory Myositis Patients 11/12's plenary session features a novel proposal on how and which patients with Idiopathic Inflammatory Myopathy (IIM) should be screened for cancer. https://t.co/JlGGZ6UnOc https://t.co/86OnuLINPy
Practical Guidance for the Clinical Rheumatologist in Unplanned Pregnancies
Discussions regarding family planning, contraception, and pregnancy should be approached at each clinic visit to ensure providers understand patients’ personal goals. These conversations have the potential to decrease the risk of unplanned pregnancies. However, rheumatologists may need to manage unplanned pregnancies and the impacts of accidental teratogenic exposure.
Tight control of proteinuria in newly diagnosed lupus nephritis
Since reduced proteinuria at one year is the best predictor of improved long-term renal outcomes in lupus nephritis, is there rationale to set a tighter treatment target?

RheumNow Rheumatology Roundup Dr. Jack Cush and Dr. Arthur Kavanaugh discuss, dissect and deliberate the sessions and

Social Author Name
Dr. John Cush
Tweet Content
RheumNow Rheumatology Roundup Dr. Jack Cush and Dr. Arthur Kavanaugh discuss, dissect and deliberate the sessions and data presented at the #ACR22 meeting in Philadelphia. https://t.co/ppe5I5upvj https://t.co/su4SOS7MAg
Subscribe to
×