Skip to main content

Study of 42 pts w/ long standing RA-LD undergoing Lung Transplant (LTx) betw 2004 -2020. Median survival was 5.3 yrs (1-

Social Author Name
Dr. John Cush
Tweet Content
Study of 42 pts w/ long standing RA-LD undergoing Lung Transplant (LTx) betw 2004 -2020. Median survival was 5.3 yrs (1-yr survival 88%) - same survival as LTx in other CTD & non-CTD ILD LTx. Mortality was 43%, higher w/ UIP. RA/CTD is not a contraindication to LTx. https://t.co/C0dpThYcMT

D-Lay Trial: High-Dose Vitamin D Retards Multiple Sclerosis A randomized clinical trial with oral high-dose cholecalci

Social Author Name
Dr. John Cush
Tweet Content
D-Lay Trial: High-Dose Vitamin D Retards Multiple Sclerosis A randomized clinical trial with oral high-dose cholecalciferol ( vitamin D3) was shown to prevent or delay the onset of clinically isolated syndrome (CIS), typical for multiple sclerosis (MS). https://t.co/ZcO5wt33Z0

More Women with Autoimmune Diseases Die from Cardiovascular Disease Women with the autoimmune diseases rheumatoid arth

Social Author Name
Dr. John Cush
Tweet Content
More Women with Autoimmune Diseases Die from Cardiovascular Disease Women with the autoimmune diseases rheumatoid arthritis, lupus or systemic sclerosis may have a higher rate of death related to cardiovascular disease than men with the autoimmune diseases, according to new https://t.co/Px9ayANsFL

Certolizumab effective in preventing adverse pregnancy outcomes in high-risk antiphospholipid syndrome. CZP given to 51

Social Author Name
Dr. John Cush
Tweet Content
Certolizumab effective in preventing adverse pregnancy outcomes in high-risk antiphospholipid syndrome. CZP given to 51 APS pts wks 8 to 28. 9 w/ primary APO (17.6%) (6 w/ pregnancy loss <10 wks) - significantly lower than historical controls. Median delivery 36.5 wks. Neonatal https://t.co/KfOOM7sEAt

Single-centre retrospective study, 27 children with refractory juvenile dermatomyositis (jDM) Rx with baricitinib (F/U

Social Author Name
Dr. John Cush
Tweet Content
Single-centre retrospective study, 27 children with refractory juvenile dermatomyositis (jDM) Rx with baricitinib (F/U of 25 mos)-- 77% (21/27) improved skin rashes (62% complete resolution) & Dz activity improved (6 vs 0.8, p<0.01) 70% (19/27) achieved inactive disease https://t.co/rRlhoY9O4q

Vitamin D Headlines (5.9.2025)

Dr. Jack Cush reviews the news, journal reports and lupus highlights from the past week on RheumNow.com. Triple positivity, the gut and CRPS, and hope for better outcomes with Vitamin D therapy. 

SLE Perspectives: Past, Present, Future
From fellowship through current times to looking ahead to the future, here are my lupus perspectives.

RA nodules respond to JAKi. Small case series of 7 established/refractory moderate-to-severe#RA pts w/ rheumatoid nodule

Social Author Name
Dr. John Cush
Tweet Content
RA nodules respond to JAKi. Small case series of 7 established/refractory moderate-to-severe#RA pts w/ rheumatoid nodules who were treated w/ JAKi (tofacitinib, upadacitinib)-- 5/7 had complete resolution & 1 reduced nodules size (w/in 3-12 mos) on JAKi therapy. https://t.co/oQWHMBVQEi

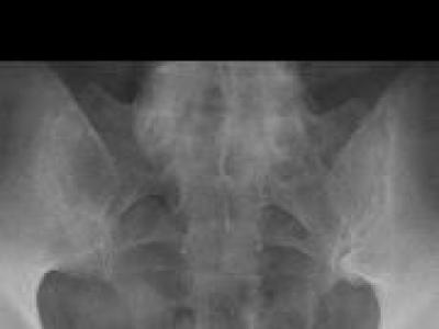
Pitfalls in sacroiliitis imaging: Bone marrow edema may also be seen in young-middle-aged postpartum women, & athlet

Social Author Name
Dr. John Cush
Tweet Content
Pitfalls in sacroiliitis imaging: Bone marrow edema may also be seen in young-middle-aged postpartum women, & athletes & kids (ongoing bone growth) & w/ advancing age (DJD) https://t.co/bwS047wlmI https://t.co/pqI3xTYtCz
Subscribe to
×