Early, Aggressive and Seropositive (7.22.2022)
Dr. Jack Cush covers the news and journal reports from the past week on RheumNow.com. This week we have Insights NAFLD, overdose deaths, septic arthritis, refractory stills, & when MTX doesn’t work.
Treatment Options for Still's Disease
The Sacred Bond
Mitochondria as Master Regulators of Inflammation
Mitochondrial constituents and metabolic products may give rise to immune activation; this is especially true for mitochondrial DNA, which can function as damage-associated molecular patterns (DAMPs) leading to inflammasome activation.
DAMPs and pathogen-associated molecular patterns (PAMPs) are primary drivers of inflammasome activity.
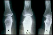
TREAT EARLIER Study - Is MTX Intevention in Pre-Clinical RA Warranted?
Management of arthralgias before a certified rheumatoid arthritis (RA) diagnosis is challenging - should one use DMARD therapy before clinically evident synovitis in a preemptive effort to avoid or forestall the diagnosis or damage of RA? A novel study has shown that MTX initiated in subclinical, pre-diagnosed, arthralgia patients did not prevent the development of inflammatory arthritis, but did appear to modify the disease course (compared to placebo), as shown by serial MRI.
Still's disease: paediatrics to adults, a continuum or not?
Best Labs for Still’s Disease
U.S. News & World Report’s 2022–23 Rheumatology Rankings
The Johns Hopkins Hospital has repeated its top rank among US Rheumatology centers - ranking #1 for the 18th year in a row, according to U.S. News & World Report’s 2022–23 Best Hospitals list released yesterday.
Rheumatic Causes for Fever of Unknown Origin
Fever of unknown origin (FUO) represents a diagnostic challenge to many physicians and while cancer and infectious causes need to be excluded, rheumatic disorders are amongst the most common causes of FUO.
A recent metanalysisi of the medical literature from 2002 to 2021, included studies with ≥50 patients reporting on causes of FUO/IUO (inflammation of unknown origin). This series included 16884 patients.
Approach to ILD in Myositis Syndromes
Mehta et al have published a full read review of managing interstitial lung disease (ILD) in patients with inflammatory myopathies, a heterogeneous group of syndromes connected by ILD and and increased morbidity and mortality risk.
They divide myositis-ILD into three main prognostic groups with different treatment approaches:
Social Media Questions (7.29.2022)
Dr. Jack Cush reviews the news, journal reports and rheumatologist cases from the past week on RheumNow.com. This podcast is brought to you by StillsNow.com - be sure to sign up for our monthly StillsNow email and Monthly StillsNow Podcast.
-
Study of 63 Thalassemia pts (50 transfusion dep) w/ 22% α-, 73% β-, 5% α- & β-thal. 23 had inflammatory rheumatic Dz (IRD: RA 9, gout 6, SLE 3, SpA 2). ANA+ in 10% w/o IRD & Transfusion Dep had more + tests for direct Coombs & ANA https://t.co/QW6ecv98F1
Nintedinib’s Durable Efficacy in Systemic Sclerosis
Patients with interstitial lung disease (ILD) related to systemic sclerosis continued to see less progression when treated with nintedanib (Ofev) in the pivotal 100-week SENSCIS trial, researchers said.
Among participants who remained on the drug until the protocol had them stop, forced vital capacity (FVC) declined by 55.1 mL/year, compared with 94.0 mL/year in the trial's placebo group (difference 38.9, 95% CI 5.6-72.1), according to Shervin Assassi, MD, of the University of Texas McGovern Medical School in Houston, and colleagues.
Not Still’s – Now What?
Plasmacytoid Dendritic Cell Inhibitor in Cutaneous Lupus
Litifilimab, a humanized monoclonal antibody against BDCA2, targets the BDCA2 receptor on plasmacytoid dendritic cells. When administered to patients with cutaneous lupus erythematosus (CLE) was shown reducing disease activity in CLE patients.
Upadacitinib in non-radiographic Axial Spondyloarthritis
The janus kinase inhibitor, upadacitinib, has been shown to significantly improve the signs and symptoms of non-radiographic axial spondyloarthritis (nr-AxSpA), extending the efficacy of UPA beyond classic ankylosing spondylitis.
Krill Oil Effective in Knee Osteoarthritis
Krill oil supplements in knee osteoarthritis (OA) was shown to be superior to placebo in reducing knee pain, stiffness and function while increasing the omega-3 index. Krill oil, rich in anti-inflammatory long-chain (LC) omega-3 ( ω–3) PUFAs and astaxanthin, is thought to be safe and now shown to be effective nutritional treatment for mild to moderate knee OA.
Supplemental Vitamin D Fails to Lower Fracture Risk
NEJM has published study results showing that vitamin D3 supplementation does not significantly lower fracture risk (vs. placebo) when used in generally healthy adults.
The Approach to Difficult to Treat Rheumatoid Arthritis
Tan and Buch have reviewed the approach to difficult to treat rheumatoid arthritis (D2T-RA), with a new EULAR definiation of D2T-RA to foster an approach rationale and concideration of treatment options.
D2T-RA is defined by failure of at least two different mechanism of action bioogic/targeted synthetic disease-modifying antirheumatic drug (DMARDs) with evidence of active/progressive disease. Progressive disease is not limited to inflammatory joint pathology, but may also include other factors such as comorbidity, obesity and fibromyalgia.
Gout Flares Up Cardiac Risks
A large case-control study showed that gout patients who experienced a cardiovascular (CV) event were more likely to have had a recent (< 120 days) gout flare compared to those without CV events.
This study sought to investigate the temporal association between gout flares and cardiovascular events in a gout cohort.
Telemedicine Enriched Care Model for Autoinflammatory Diseases
ACR20 - Autoinflammatory & Still's Disease Panel
This podcast features a discussion of autoinflammatory and Still's disease abstracts from virtual ACR 2020. Dr. Jack Cush is joined by a panel of experts including Drs. Olga Petryna, Bella Metha and Michael Ombrello.
You can listen to this podcast on SoundCloud, iTunes, Apple Car Play, Google podcasts or by clicking below
Listen here
Undifferentiated Autoinflammatory Syndrome Called VEXAS
Diagnostic tools in autoinflammatory syndromes
Autoinflammatory Diseases at the ACR Annual Meeting
It has been a wonderful year for autoinflammatory diseases at the ACR Annual Meeting.
I attended my first ACR Annual Meeting in 2011 in Chicago. In that meeting, there were 29 abstracts on autoinflammatory diseases and there were no sessions exclusively focusing on that topic*.
Flash forward to 2019 where there were 32 abstracts, several sessions dedicated to these rare syndromes, they were included as part of the Immunology Boot Camp, and they were featured in several meet the professor (MTP) sessions led by various faculty.
JAK Inhibition in Autoinflammatory Syndromes Interferonopathies
While many autoinflammatory syndromes are driven and managed with select inhibition of IL-1, IL-18 or IL-6, a subset are driven by type I interferon and are referred to as interferonopathies. These monogenic IFN–mediated disorders present in infancy with fevers, systemic inflammation, an IFN response gene signature, inflammatory organ damage, and high mortality.
Autoinflammatory Syndromes Show Dramatic Response to Canakinumab
The New England Journal of Medicine reports that the anti-interleukin (IL)-1β monoclonal antibody canakinumab (Ilaris) was effective in the treatment of three distinct autoinflammatory recurrent fever syndromes (FMF, TRAPS, HIDS) with responses that were far superior to what was seen with placebo on almost every outcome measure, a randomized study found.
Why TNF Inhibitors May Work in Some Autoinflammatory Patients
The NLRP3 inflammasome is a critical component of the innate immune system and activation of NLRP3 inflammasome results in caspase-1–dependent secretion of the proinflammatory cytokines IL-1β and IL-18. Gain-of-function missense mutations in NLRP3 is thought to drive many of the autoinflammatory diseases, especially the cryopyrin-associated periodic syndromes (CAPS).
NIH Discovers Otulipenia - New Infantile Autoinflammatory Disorder
Researchers at the National Institutes of Health, led by Dr. Dan Kastner, have led the way in the discovery and understanding of numerous autoinflammatory diseases.
In the current issue of PNAS, they report a loss-of-function mutations in OTULIN (FAM105B) gene, encoding a deubiquitinase with linear linkage specificity. OTULIN is a gene located on chromosome 5 that regulates the development of blood vessels and the mobilization of cells and proteins to fight infection.
Blau Syndrome - the Prototypic Autoinflammatory Granulomatous Disorder
The defining triad of Blau's syndrome includes granulomatous polyarthritis, dermatitis and uveitis. This rare, monogenic, autosomal dominant disorder stems from a "gain in function" mutation of the pattern recognition receptor NOD2. This open review focuses on the clinical features and the mechanism underlying the autoinflammatory features of the disorder.
Canakinumab Use in Periodic Febrile Disorders
A retrospective records review of patients with periodic fever syndromes (PFS) receiving IL-1 inhibitor treatment with canakinumab (CAN), shows CAN to be effective and safe in a variety of PFS patients.
